Wenn konservative Therapien wie Einlagen keine ausreichende Entlastung mehr bieten, schränkt die Versteifung des Großzehengrundgelenks (Hallux rigidus) den Alltag massiv ein. Die Schmerzen bei jeder Abrollbewegung führen oft zu einer chronischen Fehlbelastung des gesamten Fußes.
In der Praxis von Dr. Gottlieb in Berlin-Zehlendorf liegt der Schwerpunkt auf der operativen Behandlung des Hallux rigidus. Als spezialisierter Fußchirurg setzt Dr. Gottlieb auf moderne, differenzierte Operationsverfahren mit dem Ziel, die mechanische Belastbarkeit des Fußes zu verbessern und die Schmerzsymptomatik deutlich zu reduzieren.
Navigieren sie hier zu den einzelnen Punkten:
Was genau ist ein Hallux rigidus?
Unter einem Hallux rigidus versteht man eine Arthrose des Großzehengrundgelenks. Dabei nutzt sich die schützende Knorpelschicht zwischen den Gelenkflächen zunehmend ab. Schreitet dieser Verschleiß weiter fort – etwa durch chronische Fehlbelastungen –, kann der Knorpel im Extremfall vollständig zerstört werden. Das Resultat ist eine schmerzhafte Versteifung der großen Zehe, die zu den häufigsten Erkrankungen des Vorfußes zählt.
Für Betroffene wird vor allem die natürliche Abrollbewegung beim Gehen zur Belastung. Jeder Schritt löst starke Schmerzen aus und die Beweglichkeit des Gelenks nimmt spürbar ab. Interessanterweise zeigt die Statistik, dass Männer deutlich häufiger von dieser Form der Gelenksteifigkeit betroffen sind als Frauen.
Ursachen und Krankheitsverlauf des Hallux rigidus.
Was sind die Ursachen der Großzehenarthrose?
Es gibt verschiedene Auslöser, die einen vorzeitigen Verschleiß im Großzehengrundgelenk begünstigen können. Zu den häufigsten Ursachen gehören:
- Voroperationen: Insbesondere frühere Korrekturen von Fehlstellungen (wie Hallux valgus).
- Verletzungen: Unfälle oder Entzündungen direkt am Gelenk.
- Stoffwechsel & Erkrankungen: Gicht, Rheuma oder neurologisch bedingte Fehlstellungen.
Meist tritt die Diagnose zwischen dem 30. und 50. Lebensjahr auf. Sollten Sie bereits früher Schmerzen beim Auftreten oder eine eingeschränkte Beweglichkeit bemerken, ist eine frühzeitige Abklärung durch einen Fußspezialisten ratsam, um den Verlauf zu verlangsamen.
Krankheitsverlauf
Ein Hallux rigidus entwickelt sich schleichend. Durch den zunehmenden Knorpelschaden verschmälert sich der Gelenkspalt, was oft zu schmerzhaften Entzündungen und Schwellungen führt. Ohne Behandlung kann dies bis zur vollständigen Versteifung des Gelenks führen.
Der Verlauf in vier typischen Phasen:
- Erste Anzeichen: Sie verspüren Schmerzen, wenn die Zehe nach oben oder unten gebeugt wird. Oft ist das Gelenk leicht geschwollen.
- Zunehmende Steifigkeit: Die Beweglichkeit nimmt spürbar ab. Im Röntgenbild zeigen sich meist schon erste Knochenwucherungen (Osteophyten) und ein verengter Gelenkspalt.
- Fortgeschrittener Verschleiß: Bei Bewegungen können Reibe- oder Knackgeräusche auftreten. Die Schmerzen nehmen zu, während Zysten und deutlich sichtbare Knochenanlagerungen die Beweglichkeit stark einschränken.
- Vollständige Einsteifung: Das Gelenk lässt sich kaum noch bewegen. Gelegentlich klemmen sich freie Gelenkkörper ein, was zu plötzlichen, scharfen Blockaden führt.
Welche Symptome können bei einem Hallux rigidus auftreten?
Bei den meisten Patienten ist nur ein Großzehengrundgelenk in einem größeren Ausmaß von Arthrose betroffen:
- Der große Zeh schwillt an und schmerzt, wenn man ihn nach oben streckt.
- Manche Patienten hören sogar ein unangenehmes Geräusch, wenn Knorpel und Knochen aufeinander reiben.
- Da beim Gehen das Abrollen des Vorfußes schmerzhaft ist, vermeiden die Betroffenen häufig diese Bewegung und setzen den erkrankten Fuß lieber mit dem Außenrand auf oder rollen über den Außenrand ab.
- Die schmerzhafte Folge dieses Verhaltens können dicke Schwielen am Außenrand des Fußes sein. Auf der Gelenkoberseite bilden sich häufig knöcherne Auswüchse, die einen Druckschmerz am Fußrücken verursachen können.
- Lösen sich so genannte Gelenkkörper und gelangen in den Gelenkspalt, wird das Gelenk blockiert.
- Im weiteren Verlauf versteift sich das gesamte Großzehengrundgelenk.
- Eine Bewegung ist schließlich nicht mehr möglich.
Wo genau treten die Schmerzen bei einem Hallux rigidus auf?
Bei einer Arthrose im Großzehengrundgelenk treten Schmerzen am Fußballen und im großen Zeh auf. Versucht der Patient, die Schmerzen durch Schonhaltung zu vermeiden, können sich schmerzhafte Schwielen am Fußaußenrand bilden.
Kann ein Hallux Rigidus Schmerzen im Ruhezustand auslösen?
Ja, im fortgeschrittenen Stadium einer Großzehengrundgelenksarthrose können Schmerzen auch in Ruhe auftreten. Typisch beim Hallux rigidus sind morgendliche Anlaufschmerzen und nächtliche Ruheschmerzen.
Wann sollte ein Hallux rigidus durch eine OP behandelt werden?
Ein Hallux rigidus entsteht durch Verschleiß. Er bessert sich in der Regel nicht mehr. Einlagen und physikalische Maßnahmen nicht, ist die Operation des Hallux rigidus das Mittel der Wahl. Damit der Arzt einen Hallux rigidus sicher diagnostizieren kann, untersucht er die auffällige Zehe und befragt den Patienten nach den Symptomen. Wird der Eingriff frühzeitig durchgeführt, hat der Operateur das Ziel und auch die Möglichkeit, die Gelenkfunktion zu erhalten.
Dr. Tonio Gottlieb empfiehlt:
“Bitte suchen Sie frühzeitig den Rat eines Fußexperten auf. Dann besteht die Möglichkeit, die so wertvolle Bewegungsfunktion des Fußgelenks zu erhalten.“
Wie läuft die Operation eines Hallux rigidus ab?
Sollten konservative Maßnahmen nicht den gewünschten Erfolg bringen oder ist die Erkrankung bereits zu weit fortgeschritten, kann eine OP in Betracht gezogen werden. Die Operation des Hallux rigidus kann ambulant oder stationär durchgeführt werden. Es stehen verschiedene Anästhesieverfahren zur Verfügung. In einem persönlichen Gespräch mit Dr. Gottlieb entscheiden Sie gemeinsam, welches Verfahren für Sie am besten geeignet ist.
Welche Operationstechniken werden bei Hallux rigidus angewandt?
Die operative Behandlung des Hallux rigidus stellt für Dr. Gottlieb grundsätzlich einen Routineeingriff dar. Je nach Diagnose wird Dr. Gottlieb Sie in seiner Praxis in Berlin-Zehlendorf individuell beraten. Er empfiehlt Ihnen die Operationstechnik, die das optimale Ergebnis verspricht.
In einem Beratungsgespräch stellt Ihnen Dr. Gottlieb alle für Sie in Frage kommenden Behandlungsmöglichkeiten und Operationsmethoden vor. Dabei geht er gezielt auf Ihre persönliche Situation ein, damit Sie bald wieder besser laufen können.
Dr. Tonio Gottlieb empfiehlt:
“Eine Hallux rigidus OP ist eine inzwischen gängige Operation, die zu großer Erleichterung verhelfen kann. Nichtsdestotrotz muss ein Fußchirurg die besondere Indikation eines jeden Patienten berücksichtigen, um das bestmögliche Ergebnis zu erzielen.”
Wie lange hält die Schwellung nach der Hallux rigidus OP an?
Es ist völlig normal, dass der operierte Fuß einige Tage bis Wochen nach dem Eingriff anschwillt. Dr. Gottlieb und sein Team empfehlen eine konsequente Hochlagerung, eventuell mit Lymphdrainage. Dann sind Sie so schnell wie möglich wieder einsatzbereit.
Wie verläuft die Nachbehandlung nach einer Hallux rigidus OP?
Nach der Operation des Hallux rigidus tragen Sie für etwa sechs Wochen einen Verbandschuh. Dr. Gottlieb kontrolliert die Wunde engmaschig und macht Sie mit einer Bewegungsschiene vertraut.
Meist können Sie den Fuß schon früh belasten:
- Nach etwa 14 Tagen entfernt der Fußspezialist die Fäden und Sie beginnen mit der Physiotherapie.
- Nach vier Wochen können Sie Kompressionsstrümpfe tragen, um Schwellungen zu vermeiden.
- Nach sechs Wochen tragen viele Patienten wieder normale, fußfreundliche Schuhe. Bei Bedarf werden medizinische Einlagen verwendet.
Wie lange ist man nach einer OP des Hallux rigidus krankgeschrieben?
Wie lange Sie nach einer Hallux rigidus-Operation nicht arbeiten können, hängt von der Art des Eingriffs, dem Heilungsverlauf und von Ihrem Beruf ab. Die Krankschreibung kann von weniger als zwei Wochen bis zu zehn Wochen dauern.
Wer übernimmt die Kosten für eine Hallux rigidus OP?
Wenn die Hallux rigidus OP medizinisch notwendig ist, werden die Kosten sowohl von den gesetzlichen Krankenkassen als auch von den privaten Krankenversicherungen übernommen.
Wie kann bei einem Hallux rigidus die Behandlung ohne OP erfolgen?
Ist die Großzehengrundgelenksarthrose noch nicht weit fortgeschritten, kann die Therapie zunächst konservativ erfolgen. Im Vordergrund der Behandlung stehen dabei immer die Schmerzlinderung und der Erhalt der Gelenkfunktion.
Hallux rigidus ohne OP behandeln: Welche Therapieformen gibt es?
Fußspezialisten setzen orthopädische Hilfsmittel und physikalische Therapieverfahren zur Behandlung des Hallux rigidus ohne OP ein:
- Eine versteifte Schuhsohle unter dem Fußballen
- Orthopädische Einlagen zur Entlastung der betroffenen Zehe
Dr. med. Tonio Gottlieb ist Fußchirurg und Spezialist auf seinem Gebiet. Er kennt sowohl die operativen als auch die konservativen Behandlungsmethoden des Hallux rigidus. Nach einer eingehenden Untersuchung und einem persönlichen Gespräch in seiner Arztpraxis in Berlin-Zehlendorf wird er Ihnen einen individuellen Therapieplan empfehlen.
Vereinbaren Sie einen persönlichen Termin
Wie kann man einem Hallux rigidus vorbeugen?
Auch wenn es keinen hundertprozentigen Schutz vor der Erkrankung gibt, kann man versuchen, dem Hallux rigidus durch richtiges Schuhwerk und eine frühzeitige Behandlung von Fußfehlstellungen vorzubeugen.
Bei weiteren Fragen zu eine Hallux rigidus-OP in Berlin stehe ich Ihnen gerne zur Verfügung. Mit meiner jahrelangen Erfahrung bin ich darauf spezialisiert, Ihnen bei allen Beschwerden, die am Fuß auftreten können, weiterzuhelfen. Bitte kontaktieren Sie mich!
Dr. med. Tonio Gottlieb: Ihr Fußspezialist
- Erfahrung: 27+ Jahre Spezialisierung auf Fußchirurgie (10 J. Klinik / 17 J. Praxis).
- Expertise: Doppel-Facharzt (Chirurgie sowie Orthopädie & Unfallchirurgie).
- Leistung: Über 2.000 Operationen & 2.500+ konservative Behandlungen.
- Forschung: 20+ Jahre wissenschaftliche Tätigkeit im Bereich Fuß & Sprunggelenk.
- Netzwerk: Eigene Praxis in Berlin-Zehlendorf mit Physiotherapie & Podologie.
- Spezialgebiet: Komplexe Revisionen (Korrektur von Voroperationen) & Hallux rigidus.
- Bewertung: 60+ Top-Rezensionen echter Patienten.
Beratungsstil: Viel Zeit für die Ursachenanalyse und eine ehrliche Einschätzung der Heilungschancen.
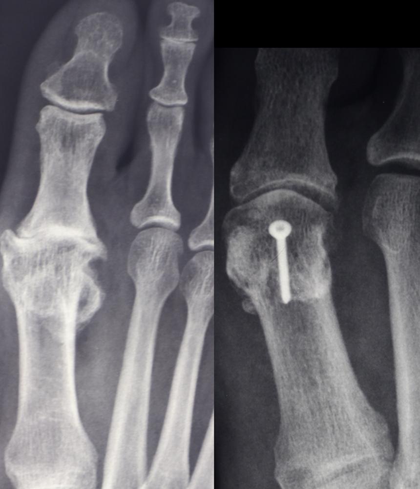
Hallux rigidus vorher nachher
Das Röntgenbild links zeigt einen ausgeprägten Hallux rigidus am rechten Fuß vor der Operation: Der Gelenkspalt im Großzehengrundgelenk ist deutlich verschmälert, die Gelenkflächen sind unregelmäßig, und es zeigen sich dorsale Osteophyten, das sind typische Zeichen einer Arthrose im Großzehengrundgelenk.
Auch interessant für Sie:
Das Röntgenbild rechts zeigt den Zustand des Fußes nach der Hallux rigidus Operation. Hier wurde eine Cheilektomie durchgeführt: Die störenden Knochenausziehungen wurden abgetragen, um den Bewegungsumfang des Großzehengrundgelenks wieder zu verbessern und die Schmerzen zu reduzieren. Zusätzlich erkennt man eine kleine Schraube im Bereich des Metatarsalköpfchens, eine gelenkerhaltende knöcherne Maßnahme, mit der die Biomechanik des Großzehengelenks optimiert wurde.“
Links: Hallux rigidus vor OP, Arthrose im Großzehengrundgelenk Rechts: Hallux rigidus nach OP, deutlich verbessertes Großzehengrundgelenk



