Bei einem Hallux valgus ist eine sorgfältige Untersuchung entscheidend. Dr. med. Tonio Gottlieb berät Sie auf Grundlage seiner langjährigen Erfahrung in der Fußchirurgie und entwickelt gemeinsam mit Ihnen ein Behandlungskonzept, das zu Ihrem Befund passt. Dabei wird ergebnisoffen geprüft, ob eine Operation des Hallux valgus in Ihrem Fall medizinisch sinnvoll ist.
Navigieren sie hier zu den einzelnen Punkten:
Hallux valgus verstehen: Welche Behandlung ist sinnvoll?
Ein Hallux valgus ist weit mehr als eine sichtbare Fehlstellung am Großzeh. Für viele Patienten geht er mit Schmerzen, Druckbeschwerden, Problemen beim Gehen oder Einschränkungen im Alltag einher. Wie stark die Beschwerden ausgeprägt sind, kann jedoch sehr unterschiedlich sein. Deshalb ist auch die Frage nach der richtigen Behandlung immer individuell zu beantworten.
Viele Patienten möchten zunächst wissen, ob eine Operation in ihrem Fall überhaupt notwendig ist. Diese Frage ist berechtigt und sollte nicht vorschnell beantwortet werden. Entscheidend sind eine genaue Untersuchung, die Ursache der Fehlstellung und das persönliche Beschwerdebild. Erst auf dieser Grundlage lässt sich beurteilen, ob eine konservative Behandlung ausreicht oder ob eine Operation medizinisch sinnvoll sein kann.
Hallux valgus OP vorher nachher
Für Patienten sind vorher nachher Fotos einer Hallux valgus Operation sehr hilfreich, da sie eine Vorstellung geben, wie ein Ergebnis nach einer Hallux valgus Operation aussehen kann.
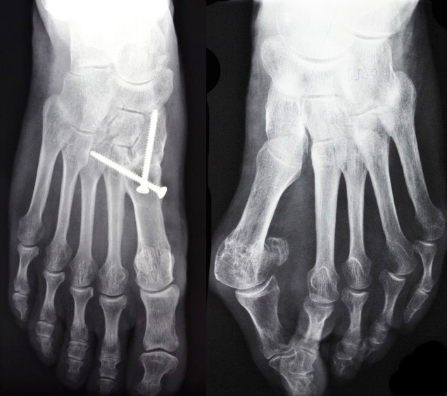
Auf dem Foto „Hallux valgus vor OP“ ist eine typische beidseitige Fehlstellung am Großzehengrundgelenk zu sehen. Sie ist am rechten Fuß stärker ausgeprägt ist als am linken. Beim rechten Fuß weicht der Großzeh deutlich zur Seite ab, während sich der Mittelfußknochen nach medial (nach innen) verschiebt und so den prominenten Ballen entstehen lässt.
Auf dem Foto „Hallux valgus vor und nach OP“ ist der rechte Fuß bereits operiert und zeigt ein korrigiertes Bild nach einer knöchernen Umstellungsoperation. Der Vergleich von vorher und nachher zeigt klar die Wiederherstellung einer harmonischen Fußform mit geradem Großzeh und einem deutlich vermindertem Ballenvorsprung am rechten Fuß. Für den Ballenzeh am linken Fuß ist die Hallux valgus Operation sechs Monate nach der ersten Hallux OP geplant.
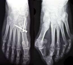
Auf dem Röntgenbild „Hallux valgus Röntgen vor und nach der OP“ erkennt man die Reorientierung und Stabilisierung des ersten Mittelfußknochens an die Fußwurzel und den zweiten Mittelfußknochen. Eine Vereinigung von erstem und zweitem Mittelfußknochen und erstem keilförmigen Fußwurzelknochen ist erreicht und bildet ein neues, stabileres Gelenk gegenüber dem Rückfuß.
Dies ist eine original Lapidusarthrodese. Gegenüber den symptomatischen Umstellungen des ersten Mittelfußknochens, wie Chevron-, Scarf- oder ähnlichen gelenkerhaltenden Osteotomien, ist sie ursachenorientiert und macht nicht nur einen geraden Großzeh, sondern auch den Fuß stabiler und leistungsfähiger. Die Hallux valgus Fehlstellung am linken Fuß ist noch unbehandelt.
Hallux valgus OP in Berlin: Wie ist der Ablauf?
Dr. Gottlieb ist Ihr Spezialist für Hallux valgus Operationen in Berlin-Zehlendorf. Unter dem Begriff “Hallux valgus OP” werden umgangssprachlich alle operativen Korrekturen eines Hallux valgus, eines Ballenzehs, zusammengefasst. Die operativen Therapieverfahren, die der Fußspezialist Dr. Tonio Gottlieb anbietet, werden je nach Operationsmethode stationär oder ambulant in seiner fußchirurgischen Praxis in Berlin-Zehlendorf durchgeführt. Hier erfahren Sie mehr über Symptome, Behandlungsmöglichkeiten und Rehabilitation.
Das Behandlungskonzept und der Therapieablauf gestalten sich je nach Patient unterschiedlich. Sie orientieren sich an folgenden Kriterien:
- Schweregrad der Hallux valgus Fehlstellung,
- Ursache der Fehlstellung,
- Schmerzintensität (hier ist es wichtig ein genaues Beschwerdebild zu haben und den dadurch bedingten Leidensdruck zu kennen),
- Mobilitätsgrad bzw. der Anspruch des Patienten an seine Mobilität,
- Allgemein- und Gesundheitszustand eines Patienten.
Die Ursache des Hallux valgus liegt sowohl bei der schweren als auch bei der leichten Form in einem Auseinanderweichen der Mittelfußknochen I und II, an denen die Großzehe und die zweite Zehe ansetzen. Durch dieses Auseinanderweichen der beiden Knochen vergrößert sich der Winkel zwischen ihnen. Diese Vergrößerung kann sich im Laufe der Zeit sehr unterschiedlich entwickeln. Die Folge sind Fußschmerzen und Bewegungseinschränkungen unterschiedlichster Art.
Um den Hallux valgus zu beheben und die damit verbundenen, möglicherweise langjährigen Schmerzen zu lindern oder ganz zu beseitigen, gibt es grundsätzlich zwei Therapieansätze mit unterschiedlicher Ausprägung.
Man kann zwischen einem symptomatischen und einem kausalen Ansatz wählen. Beim symptomatischen Vorgehen werden die vorhandenen Symptome, also die Anzeichen des Hallux valgus, behandelt. Bei der kausalen Therapie hingegen wird die Ursache der Hallux valgus Fehlstellung beseitigt.
Welche symptomatischen Therapien und Operationsmöglichkeiten zur Behandlung des Hallux valgus gibt es?
Das Therapiekonzept ist immer individuell. Es wird von Dr. Gottlieb immer ausführlich mit dem Patienten besprochen.
Chevron-Osteotomie
Bei leichten bis mittleren Ausprägungen des Hallux valgus kann der entstandene Winkel zwischen den Mittelfußknochen I und II durch gelenkerhaltende und gleichzeitig belastungsstabile Umstellungen des ersten Mittelfußknochens so beeinflusst werden, dass sich der Winkel zwischen diesen beiden Mittelfußknochen wieder verkleinert. Dadurch kann er wieder seine ursprüngliche Form annehmen. Belastungsstabil bedeutet, dass der Fuß bereits kurz nach der Operation voll belastet werden kann.
Konkret bedeutet dies, dass bei einem kleinen Spreizwinkel (Intermetatarsalwinkel) der Winkel zwischen den beiden inneren Mittelfußknochen und damit der Hallux valgus durch eine knöcherne Umstellung des ersten Mittelfußknochens in V-Form korrigiert wird. Diese knöcherne Umstellung (Osteotomie) wird als Chevron-Osteotomie oder OP nach Austin bezeichnet. Sie bezeichnet das Operationsverfahren einschließlich der Weichteilkorrektur.
Durch die Winkelreduktion wird der körperferne Knochenanteil in Richtung Fußaußenrand verlagert. Dadurch wird der Winkel des Hallux valgus verkleinert. Diese Operation ist grundsätzlich auch minimalinvasiv durchführbar (MIC = Minimal Invasive Chirurgie).
Scarf-Osteotomie
Bei mittelgradigen, also schon etwas größeren und ausgeprägteren Hallux valgus Fehlstellungen mit einem Winkel von 13-16° ist ein anderes Operationsverfahren erfolgversprechender:
Statt der V-förmigen Durchtrennung des ersten Mittelfußknochens wie bei der Chevron-Osteotomie erfolgt die Korrektur durch einen Z-förmigen Schnitt, die Scarf-Osteotomie. Wird diese Schnittführung mit Weichteilkorrektur durchgeführt, spricht man von einer Operation nach Meyer Scarf.
Keilosteotomie
Im Gegensatz zur Scarf-Osteotomie und der Chevron-Osteotomie kann die körpernahe - oder in der Fachsprache auch basisnahe - Keilosteotomie prinzipiell jeden Winkel korrigieren.
Bei dieser Operationsmethode des Hallux valgus wird am körpernahen Ende (Basis) des ersten Mittelfußknochens ein Keil entfernt. Ziel ist es, den Abstand zwischen dem ersten und zweiten Mittelfußknochen wieder zu verringern. Diese Basis-Keil-Osteotomie kann auch bei hochgradigen, also sehr ausgeprägten Hallux valgus Fehlstellungen angewendet werden.
Auch diese operative Behandlung ist rein symptomatisch, da die Ursache, die zum Auseinanderweichen der Mittelfußknochen geführt hat, nicht behandelt wird. Diese Therapiemethode hat den Vorteil, dass die Entlastungszeit des Fußes in der Heilungsphase auf ca. 4-6 Wochen nach der Operation verkürzt werden kann.
Bei allen oben genannten symptomatischen Verfahren handelt es sich um Operationstechniken, die die Großzehe begradigen. Der Hallux valgus wird reduziert oder ganz beseitigt. Die Ursachen, wie z.B. die Instabilität der Fußwurzel oder des Mittelfußknochenübergangs, werden durch diese Operationsmethoden jedoch nicht behoben. Hierzu gibt es in der Fachwelt unterschiedliche Meinungen und auch Veröffentlichungen.
Herr Dr. Gottlieb kann hier auf sehr tiefe und breite OP-Erfahrung zurückgreifen. Der Fuß-Spezialist ist deshalb ein geschätzter Experte, wenn es um Hallux-valgus-Operationen geht. Er ist einer der wenigen Fußchirurgen, die grundsätzlich über den Vorfuß hinaus den gesamten Fuß behandeln und stets die damit verbundene Körperstatik im Auge behalten.
Jetzt Termin vereinbaren
Welche ursächlichen Operationsverfahren beim Hallux valgus gibt es?
Eine der Hauptursachen für die eingeschränkte Belastbarkeit des Fußes beim Hallux valgus ist die Instabilität zwischen Fußwurzel und Mittelfußknochen. Diese kann zu einem Hallux valgus führen oder einen bestehenden Hallux valgus verschlimmern. Daher ist eine Stabilisierung in diesem Bereich des Fußes nicht nur eine Therapie des Hallux valgus, sondern auch eine Steigerung der Belastbarkeit des Fußes.
Lapidus-Arthrodese
Mit der Lapidus-Arthrodese kann jeder Grad der Hallux-valgus-Fehlstellung ursächlich und damit dauerhaft beseitigt werden. Je nach Ursache und Entstehung des Hallux valgus wird bei diesem Verfahren die Beweglichkeit zwischen den Mittelfußknochen I und II sowie den Fußwurzelknochen versteift. Dadurch wird der Fuß belastbarer.
Die Beweglichkeit der Mittelfußknochen I und II sowie der Fußwurzelknochen war ursprünglich für die Greiffunktion notwendig. Durch den zweibeinigen Gang des Menschen ist diese Greiffunktion einer statischen Funktion gewichen. Diese kann ohne übermäßige Beweglichkeit sogar besser gewährleistet werden.
Der einzige Nachteil, den Sie als Patient nachhaltig lohnend in Kauf nehmen sollten, ist, dass während der Heilungsphase eine Entlastung erforderlich ist. Diese beträgt ca. 8 Wochen. Ein sehr positiver und wichtiger Nebeneffekt dieser Operationsmethode ist, dass der Hallux valgus durch diese Operationsmethode verschwindet. Die Ergebnisse der Lapidus-Arthrodese sind neben der Haltbarkeit auch ästhetisch sehr ansprechend.
So wählt Fuß-Spezialist Dr. Gottlieb mit Ihnen das richtige Verfahren für die Hallux-OP aus

Welche dieser Behandlungsmöglichkeiten gewählt wird, hängt nicht nur von der Fehlstellung, sondern auch von den Erwartungen und dem Leidensdruck des Patienten ab. Hier spielen das Alter, besondere Wünsche an Sport und Bewegung oder das jahrelange Aushalten von Schmerzen und Ähnliches eine Rolle.
Vieles ist subjektiv und sollte offen mit dem behandelnden Arzt besprochen werden. Gleichzeitig muss der operative Aufwand den Risiken gegenübergestellt werden.
Zu bedenken ist auch, dass ein symptomatisches Vorgehen oder gar keine Korrektur ebenfalls Risiken bergen kann. Schäden, die im Laufe der Zeit entstehen können, sind eine stark eingeschränkte Mobilität und Beweglichkeit. Diese wiederum können zu einer völligen Instabilität des Fußes führen. Die Folge ist eine stark eingeschränkte Leistungsfähigkeit. Die Art der Operation richtet sich daher vor allem nach Ihrem genauen Beschwerdebild und nach Ihren Erwartungen und Zielen.
Je nachdem, wie stark die Fußschmerzen sind, welche Ursachen zugrunde liegen, wie viele Jahre Sie schon leiden oder wie stark Ihre Beweglichkeit eingeschränkt ist, entscheidet sich Fußspezialist Dr. Gottlieb gemeinsam mit Ihnen für ein bestimmtes Operationsverfahren. Je nach Situation kombiniert er auch verschiedene Verfahren.
Jetzt Termin vereinbaren
Wundheilung bei einer Hallux-valgus-Operation
Wunden heilen besser, wenn sie keinen mechanischen Belastungen ausgesetzt sind, wie sie z.B. im Alltag auftreten. Im Rahmen einer stationären Behandlung kann eine optimale Schonung des Fußes und des Operationsgebietes gewährleistet werden. Bei kleineren Hallux-valgus-Operationen kann jedoch eine Schonung im häuslichen Umfeld ausreichend sein. In diesen Fällen ist eine ambulante Behandlung durch einen Spezialisten möglich.
Dr. Gottlieb, der spezialisierte Fußchirurg in Berlin, rät, frühzeitig in seine Sprechstunde zu kommen:
“Ziel ist es, Ihre Mobilität so gut wie möglich zu erhalten oder wiederherzustellen. Nach genauer Untersuchung empfehle ich Ihnen die für Sie am besten geeignete Vorgehensweise.”
Welche Komplikationen können bei einer Hallux-valgus-OP auftreten?
Grundsätzlich sind die etablierten Operationsverfahren, die der Fußspezialist Dr. Gottlieb beim Hallux valgus anwendet, aufgrund seiner langjährigen Erfahrung als sehr risikoarm einzustufen.
Vor jeder möglichen Hallux-Operation werden mögliche Risikofaktoren individuell abgeklärt und mit Ihnen besprochen. So kann geprüft werden, ob Sie die Voraussetzungen für eine solche Operation erfüllen.
Vor jeder Hallux-valgus-Operation werden Sie über mögliche Komplikationen aufgeklärt, auch wenn diese selten auftreten. Lassen Sie sich vom Fuß-Experten Dr. Tonio Gottlieb in seinem Spezialgebiet umfassend beraten. Aufgrund seiner Expertise kann er mögliche Risiken minimieren und wird Ihnen das ideale Operationsverfahren empfehlen.
Ab wann ist eine Hallux-valgus-OP sinnvoll?
Eine Hallux valgus-Operation kommt in Frage, sobald Beschwerden vorliegen, die mit konservativen Mitteln nicht ausreichend therapiert werden können. Zu diesen Beschwerden gehören:
- zunehmende Schmerzen am Großzehenballen und am Fuß
- Schwellungen
- Gelenkreizungen
- Entzündungen
- Schuhpassprobleme
- Druckstellen
- Häufiges Instabilitätsgefühl
- Einschränkung der Belastbarkeit der Füße
- Schmerzen durch Überlastung von anderen Regionen (Metatarsalgien)
- Schmerzen durch Verschleiß angrenzender Gelenke (Arthrose)
- Drohende Geschwüre, die auch schmerzfrei sein können
- Bei diagnostizierter Diabetes mellitus
Natürlich ist eine Hallux-valgus-Operation keine Notfalloperation. Eine sorgfältige Abwägung ist notwendig. Die Risiken der Operation müssen den Beschwerden und dem Aufwand gegenübergestellt werden. Diese müssen im Vorfeld sehr genau und patientenindividuell dargestellt werden. Lassen Sie sich umfassend von Dr. Tonio Gottlieb beraten! Er wird Ihnen eine klare Handlungsempfehlung geben.
Jetzt Termin vereinbaren
Wann sollte keine OP des Hallux valgus empfohlen werden?
Diese Frage ist nicht leicht zu beantworten. Als Leitlinie gilt: Wenn die Beschwerden zusammen mit den Risiken ohne Operation die Risiken einer Operation nicht rechtfertigen, sollte nicht operiert werden. Auch hier spielt das subjektive Empfinden bei der Entscheidung eine Rolle.
Gründe, die gegen eine Operation beim Hallux valgus sprechen könnten, betrachtet Dr. Gottlieb immer im Gesamtbild des Patienten. So kann er die Entscheidung für oder gegen eine Hallux-valgus-Operation sachgerecht treffen. Seine Erfahrung aus zahlreichen Patientenfällen bildet dabei die Grundlage für eine fundierte Behandlungsempfehlung.
Lassen Sie sich daher am besten vom Fußspezialisten Dr. Tonio Gottlieb individuell beraten, um die richtige Entscheidung zu treffen und das beste Behandlungsergebnis erzielen zu können.
Werden die Kosten für die Hallux-valgus-OP von der Krankenkasse erstattet?
Die Kosten einer Hallux-valgus-Operation werden bei medizinischer Notwendigkeit von den gesetzlichen und privaten Krankenkassen übernommen. Wenn eine Operation sinnvoll oder sogar unumgänglich ist, um die gesunde Gelenkfunktion wiederherzustellen oder das Fortschreiten des Gelenkverschleißes aufzuhalten, wird sie von den Krankenkassen bezahlt. Im Einzelfall ist jedoch der individuelle Versicherungsstatus des Patienten zu berücksichtigen.
Bei Kassenpatienten, die stationär in einem Krankenhaus der Grund- und Regelversorgung behandelt werden können, werden die Kosten der Hallux-valgus-Operation von der Krankenkasse übernommen. Ambulante Kosten müssen grundsätzlich nach der Gebührenordnung für Ärzte abgerechnet werden. Die Erstattung hängt von der Krankenkasse bzw. dem individuellen Versicherungsvertrag ab.
Wie lange ist man in der Regel nach einer Hallux-valgus-OP krankgeschrieben?
Die Dauer der Arbeitsunfähigkeit richtet sich nach dem Operationsverfahren und dem Beruf des Patienten. Bei sitzender Tätigkeit kann je nach Heilungsverlauf nach ca. 2 Wochen wieder gearbeitet werden. Bei stehenden Berufen muss die Belastbarkeit nach ca. 8 Wochen individuell beurteilt werden.
Was ist nach einer OP des Hallux valgus zu beachten?
Das Ziel nach der Hallux-valgus-Operation ist die Entlastung und Schonung des Fußes. Nach zwei Wochen ist die Wundheilung in der Regel abgeschlossen. Die Unversehrtheit des Fußes muss wiederhergestellt werden. Dieses Ziel kann durch Physiotherapie so früh wie möglich erreicht werden. So kann der gewohnte Gebrauch des Fußes schnell wieder aufgenommen werden. Dieses Konzept dient der frühzeitigen Wiederherstellung der Lebensqualität.
Abhängig vom angewandten Operationsverfahren gelten diese Herangehensweisen der Praxis für Fußchirurgie von Dr. med. Tonio Gottlieb in Berlin für die Nachsorge:
- Wurde eine belastungsstabile Korrektur des Hallux valgus durchgeführt, ist eine sofortige Vollbelastung im Verbandschuh möglich (ca. 6 Wochen Tragedauer).
- Der Verbandswechsel erfolgt 7 Tage nach der Operation.
- Das Fädenziehen erfolgt nach 14 Tagen.
- Begleitende Krankengymnastik erfolgt je nach Bedarf frühestens nach 14 Tagen.
Die Verlaufskontrolle erfolgt in diesem Rhythmus:
- Die klinischen Verlaufskontrollen finden alle 14 Tage statt, bei Bedarf auch öfter.
- Eine Röntgenkontrolle erfolgt ca. 5-6 Wochen nach der Hallux valgus OP.
- Die Belastungssteigerung erfolgt in Abhängigkeit vom Röntgenergebnis ebenfalls nach ca. 6 Wochen.
- Wurde eine übungsstabile Korrektur des Hallux valgus vorgenommen, so erfolgt eine kurze Phase der Entlastung über 2 Wochen in einem Gips. Somit kann die vollständige Regeneration erfolgen und die Nachsorge zur Wiederherstellung der Funktionen des Fußes stattfinden.
- Die Fäden werden zeitgleich mit dem ersten Verbandswechsel 14 Tage nach der Operation gezogen. Anschließend erfolgt das Anlegen eines Gipsersatz-Stiefels (Orthese oder Walker genannt) für den Fuß und Unterschenkel. Zeitgleich beginnt auch je nach Bedarf die Krankengymnastik. Der Walker wird nach ca. 6 Wochen wieder abgelegt. Die Wiederaufnahme der Belastung kann für 4 Wochen mit Einlagen unterstützt werden.
- Eine abschließende klinische und radiologische Kontrolle findet etwa 12 Monate nach der OP statt.
Das Ziel ist es, die Sportfähigkeit in der Regel 12 Wochen nach der Operation wiederherzustellen. Auf diese Weise können Sie so schnell wie möglich wieder Ihren gewohnten Bewegungsabläufen nachgehen.
Wie lange dauern eventuell auftretende Schmerzen nach einer Hallux-valgus-OP an?
Noch während der Narkose wird der Fuß mit einem so genannten Fußblock behandelt. Dabei werden die Nerven, die den Fuß versorgen, mit einem Schmerzmittel umspült. Dadurch sind Sie bis zu 10 Stunden nach der Operation gefühllos und schmerzfrei. Dies ist in der Regel die Zeit der größten operationsbedingten Schmerzen.
Danach wird durch eine gezielte Schmerzmedikation das Auftreten von Schmerzen verhindert. Nach Erreichen der Schmerzfreiheit wird die Schmerzmedikation schrittweise reduziert, um eine optimale Dosierung zu erreichen.
Wie lange hält die Schwellung nach einer Hallux-valgus-Operation an?
Nach einer Hallux-valgus-Operation kann es vorübergehend zu einer Schwellung des betroffenen Gelenks kommen. Diese Schwellung geht mit der Zeit zurück. Das Ausmaß und die Dauer der Schwellung sind jedoch von Patient zu Patient unterschiedlich. Dies hängt auch von der angewandten Operationsmethode und dem damit verbundenen Operationsaufwand ab.
Der Abschwellungsprozess kann fachgerecht durch Lymphdrainage und Hochlagern des operierten Fußes beschleunigt werden. Auch das Tragen von weichem, weitem Schuhwerk ist für die Dauer der Schwellung möglich.
Im Einzelgespräch mit Dr. Gottlieb besprechen Sie gemeinsam, wie Sie nach der Hallux-valgus-OP schnellstmöglich wieder fit werden. Er erklärt Ihnen genau, was zu beachten ist. Sie erhalten in seiner Praxis stets die idealen Nachsorgeempfehlungen für Ihre Gesundheit.
Ist eine besondere Form der Gymnastik nach einer OP des Hallux valgus sinnvoll?
Ziel der Nachbehandlung nach einer Hallux-valgus-Operation ist es, das operierte Gelenk wieder vollständig zu mobilisieren und zu belasten. Eine der wichtigsten Nachbehandlungen eines operierten Großzehengrundgelenks ist daher die Physiotherapie. Sobald es die Wundheilung zulässt, wird Dr. Gottlieb Sie zu krankengymnastischen Übungen anleiten, die Sie selbst durchführen können.
Die optimale Nachsorge wird in der Regel erreicht, wenn nach der Wundheilung ein Physiotherapeut die manuelle Therapie durchführt.
Auch eine zusätzliche Lymphdrainage kann den Rückgang von Schwellungen nach einer Operation beschleunigen. Dies kann eine zusätzliche Stärkung des Fußes sein, damit Flexibilität und Beweglichkeit so schnell wie möglich wiedererlangt werden.
Mindert eine Operation die Wahrscheinlichkeit, erneut einen Hallux valgus zu bekommen?
Die Wahrscheinlichkeit, erneut einen Hallux valgus zu entwickeln, hängt von der primär gewählten Operationsmethode ab. Je stärker die Therapie auf die Korrektur der Ursache ausgerichtet ist, desto geringer ist das Risiko einer erneuten Fehlstellung. Symptomatische Operationen wie Austin, Meyer-Scarf oder Basis-Keilosteotomien des ersten Mittelfußknochens haben zwar den Vorteil, dass der betroffene Fuß schneller belastungsstabil wird. Nachteilig ist jedoch das höhere Rückfallrisiko (Rezidivrisiko).
Bei der Lapidusarthrodese und nur bei der Originaltechnik kann - nach korrekter Indikationsstellung, Durchführung der Operation und vollständig ausgeheilter Korrektur - ein Hallux valgus nicht mehr auftreten.
Jetzt Kontakt mit Ihrem Hallux-valgus-Operateur in Berlin aufnehmen
Sollte wider Erwarten ein Hallux valgus am selben Fuß wieder auftreten, Sie eine Zweitmeinung einholen wollen, mit Ihrer Hallux valgus-Operation unzufrieden oder noch nicht schmerzfrei sein, sind Sie beim Fußspezialisten Dr. Tonio Gottlieb in den besten Händen.
Als anerkannter Fußchirurg und einer der wenigen Spezialisten, der den ganzen Fuß und die Körperstatik im Blick hat, können Sie sich auf seine langjährige Fuß-Expertise verlassen.
Neben dem Hallux valgus behandeln und operieren wir auch andere Fußerkrankungen und Fehlstellungen wie den Hallux rigidus, Arthrose, die Hammerzehe oder den Knick-Senk-Spreizfuß.
Jetzt Ihren persönlichen Termin vereinbaren
Damit wir uns optimal auf Ihren Termin bei uns vorbereiten können, füllen Sie bitte das Kontaktformular aus oder rufen Sie direkt in der Praxis an unter 030 80581207.


