

Die Lapidus Arthrodese (auch als Lapidus-OP bekannt) ist ein Operationsverfahren, das häufig bei einer stark ausgeprägten Hallux valgus Fehlstellung (Schiefstellung der Großzehe) zur Anwendung kommt. Mit der Lapidus Arthrodese lässt sich nicht nur die Fehlstellung korrigieren, sondern gleichzeitig auch das innenseitige Fußgewölbe stabilisieren. Doch was ist nun eine Lapidus Arthrodese genau?
Was versteht man unter einer Lapidus Arthrodese?
Das Operationsverfahren Lapidus Arthrodese wurde von dem amerikanischen Arzt Paul Lapidus 1935 entwickelt. Er nutzte die Erkenntnis, dass bei Primaten und Menschen während der embryonalen Entwicklung ein hohes Auseinanderweichen und eine Überbeweglichkeit der ersten Mittelfußknochen vorliegt. Der menschliche Fuß verfügt an dieser Stelle also über mehr Beweglichkeit als nötig, da der Fuß nicht mehr als Greiforgan, sondern nur zum Laufen benutzt wird. Die Instabilität am ersten Mittelfußknochen ist bei jedem Menschen individuell, entweder weniger oder stärker ausgeprägt.
Das OP-Verfahren nach Lapidus eliminiert die Überbeweglichkeit an dieser Stelle des Fußes bzw. des Mittelfußknochens. Im Zuge dieser Operation wird also ein Gelenk versteift, das der Mensch eigentlich nicht mehr benötigt. Die Entscheidung für eine Lapidus Arthrodese wird vom behandelnden Fußchirurgen individuell von Fall zu Fall getroffen und kann sowohl bei geringer als auch bei hoher Instabilität des ersten Mittelfußknochens das Mittel der Wahl sein. Die Lapidus Arthrodese ist ein Eingriff in die Statik des Fußes. Aus diesem Grund braucht der Fuß genügend Zeit zum Ausheilen und ist nicht sofort belastungsstabil.
In diesem Beitrag lesen Sie alles Wissenswerte über die OP-Methode Lapidus Arthrodese und in welchem Hallux valgus Stadium sie zu empfehlen ist. Wir informieren Sie darüber, was dieses Operationsverfahren konkret leisten kann und wie eine OP nach Lapidus abläuft. Besonders wertvoll ist der Blickwinkel des Fußchirurgen und ob so eine Lapidus OP grundsätzlich zu empfehlen ist. Gerade auch im Hinblick auf eine nachhaltige Behandlung des Fußes und der gesamten Statik.
Navigieren sie hier zu den einzelnen Punkten:
Infobox - Erklärung der unterschiedlichen Begrifflichkeiten im Zusammenhang mit der Lapidus Arthrodese
- Arthrodese nach Lapidus: Versteifung der Fußwurzel und des Mittelfußknochens am ersten Fußstrahl (Großzehe) unter Einbezug des zweiten Mittelfußknochens. Das erste Gelenk (zwischen Fußwurzelknochen I und Mittelfußknochen I) wird weggenommen. Ein Teil des Mittelfußknochens wird präpariert, um das Mittelfußgelenk wieder in eine gerade Position zu bringen. Diese neue Position wird mit Schrauben fixiert. Es wird eine Verknöcherung von drei Knochen erreicht: erster und zweiter Mittelfuß- und erster Fußwurzelknochen. Diese artikulieren danach “en bloc” mit der Fußwurzel in einem neuen, mehrfach verwinkelten und dadurch stabilen Gelenk mit dem Rest der Fußwurzel.
- Versteifung TMT I (modifizierter Lapidus): nur eine Versteifung der Fußwurzel und des Mittelfußknochens am ersten Fußstrahl
TMT: Tarsometatarsal (die Lage betreffend, zwischen Tarsus und Metatarsus) - Tarsus: Fußwurzel
- Metatarsus: Mittelfuß
- TMT I bis V: Jeder Mittelfußknochen hat eine Verankerung in der Fußwurzel (Tarsus). Diese werden von innen nach außen mit I bis V (großer bis kleiner Zeh) durchnummeriert
- Lisfranc Gelenk: eine medizinisch gedachte Gelenklinie, die die Verbindung der fünf Mittelfußknochen an der eigentlichen Fußwurzel bezeichnet (also ebenfalls TMT I-V-Gelenk).
- Lisfranc Arthrodese: Bei einer Lisfranc Arthrodese werden mindestens II der vorgenannten Gelenke versteift.
Wichtig zu wissen: Nicht immer sind die Hallux valgus Schmerzen abhängig vom Grad der Hallux valgus Ausprägung. Gerade im Anfangsstadium kann ein Hallux valgus möglicherweise größere Schmerzen verursachen, als im fortgeschrittenen Zustand. Die Schmerzsymptomatik ist stets individuell. So gibt es auch sehr ausgeprägte Hallux valgus Fehlstellungen, die tatsächlich schmerzfrei sind.
Lapidus OP: Wie kommt es zu einer ausgeprägten Fehlstellung des Großzehenballens und zu einem instabilen Fußgewölbe?
Die Ursache einer ausgeprägten Hallux valgus Fehlstellung ist individuell. Sie kann einerseits genetisch bedingt sein, andererseits weist jeder Mensch eine unterschiedliche Stabilität und eine unterschiedliche Stellung der Knochen bzw. Gelenke zur statischen Achse auf. Eine instabile Statik, z.B. durch X-Beine oder Knick-Senk-Spreizfüße / Plattfüße kann im Laufe des Lebens Beschwerden verursachen. Auch die menschliche Muskulatur wird mit zunehmendem Alter nicht kräftiger. Häufig ist also ein Hallux valgus als Symptom eines dynamischen, degenerativen Prozesses zu bewerten, der möglichst schon im Anfangsstadium behandelt werden sollte.
Wie stellt der Fußchirurg eine exakte Diagnose bei einer ausgeprägten Hallux valgus Fehlstellung?
Für die exakte Diagnose eines ausgeprägten Hallux valgus
- beginnt der Fußchirurg als erstes mit einer Anamnese (Patientengespräch)
- und schließt eine ausführliche körperliche Untersuchung an. Hierzu steht bei Dr. med. Tonio Gottlieb ein spezielles Fußpodest zur Verfügung, welches die klinische Untersuchung verfeinert und präzisiert, und ebenso für den Patienten erleichtert.
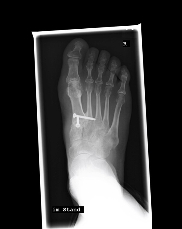
- Im Anschluss wird die Diagnose meist durch eine Röntgenaufnahme unter Belastung bestätigt. Durch dieses bildgebende Verfahren kann die Ausprägung der Fehlstellung unter anderem durch Ermittlung des IMR-I-Winkels (siehe oben) und der Instabilität beurteilt werden.
Im Anschluss gibt der Fußspezialist konkrete Handlungsempfehlungen zu einer erfolgreichen Korrektur des Hallux valgus und schlägt das geeignete OP-Verfahren vor. Bei einer schweren Fehlstellung bietet sich häufig eine Lapidus Arthrodese an.
Dr. med. Tonio Gottlieb rät:
„Ein unbehandelter Hallux valgus mit Fehlstellungen und möglicherweise ausgerenkten Gelenken kann viele Folgen haben. Zum Beispiel Gelenkverschleiß, Verformung der Nachbarzehen, statische Probleme für die darüber geschalteten Gelenke oder allgemeine Immobilität. Auch Knie-, Rücken- oder Hüftschmerzen können durch einen Hallux valgus ausgelöst werden. Daher ist es empfehlenswert, einen Hallux valgus bereits frühzeitig diagnostizieren und behandeln zu lassen.”
Für Patienten mit einem Hallux valgus ist der Fußchirurg Dr. med. Tonio Gottlieb, der spezialisierte und sehr erfahrene Facharzt rund um das Thema Fußgesundheit und Fuß-Operationen. Er untersucht sie mit größter Sorgfalt und plant ausreichend Zeit - auch für Ihre Fragen. Dabei hat er stets die gesamte Körperstatik im Blick. Ob Erstdiagnose oder Zweitmeinung - vereinbaren Sie Ihren persönlichen Beratungstermin!

Welche Möglichkeiten gibt es, um einen stark fortgeschrittene Ballenzeh zu korrigieren und den Fuß zu stabilisieren?
Wird ein fortgeschrittener Hallux valgus diagnostiziert, kann mit konservativen Behandlungsmöglichkeiten meist keine Verbesserung erzielt werden. Muskeltraining des Fußes ist zwar in jedem Stadium einer schiefen Großzehe empfehlenswert und birgt keine Risiken, häufig sind die Muskeln allein jedoch überfordert, um eine fortgeschrittene Zehenfehlstellung zu kompensieren.
Grundsätzlich gilt: Um eine Hallux valgus Fehlstellung zu behandeln kann man entweder die Belastung reduzieren (z.B. konservativ durch orthopädische Einlagen) oder die Belastbarkeit steigern (z.B. konservativ durch Muskeltraining oder operativ).
Was zeichnet die Lapidusarthrodese als zielführendes, nachhaltiges und ursächliches
Operationsverfahren bei einem stark ausgeprägten Hallux Fuß aus?
Mit einer Lapidusarthrodese wird nicht nur das TMT I Gelenk versteift, sondern auch eine zusätzliche Fusion zwischen Mittelfußknochen I und II erreicht. Dieses Gelenk stellt häufig eine Schwachstelle der gesamten Fußgewölbe-Konstruktion dar. Die evolutionsbedingte gelenkige Verbindung an dieser Stelle kann horizontale und vertikale Instabilitäten verursachen. Die Vorteile einer Lapidus Arthrodese liegen eindeutig darin, dass man die Ursache der atavistischen Fehlstellung der auseinander gespreizten Mittelfußknochen und dabei ganz nebenbei das Symptom “Hallux valgus“ am Fuß beseitigt. Nur hierdurch kann das OP-Ergebnis nachhaltig werden.
Dr. Tonio Gottlieb empfiehlt:
„Die Aufgabe für mich als Fußchirurgen ist es, zu diagnostizieren, wo die größte Instabilität am gesamten Fußgewölbe besteht. Das heißt, wo kann ich als Chirurg ansetzen, um die Stabilität mit möglichst wenig Aufwand und möglichst viel Wirkung zu erhöhen. Hier bietet sich natürlich die Versteifung eines Gelenkes an, das wir evolutionstechnisch gar nicht mehr benötigen – also eine Lapidus Arthrodese.”
Wie ist der Ablauf, wenn nach der Lapidus Arthrodese operiert wird?
Bei einer Lapidus Arthrodese am Hallux Fuß muss der Patient mit einem Krankenhausaufenthalt von vier Tagen rechnen. Die OP findet in Vollnarkose statt. Im gesamten Verlauf der Behandlung, von der Diagnose bis zur vollständigen Heilung werden die Patienten von Dr. med. Tonio Gottlieb persönlich betreut. Er bereitet die Patienten für die OP vor, führt das Aufklärungsgespräch vor der OP, führt die Operation durch und ist auch zur Nachbetreuung im Krankenhaus für seine Patienten da.
Dr. Tonio Gottlieb:
„Ich operiere einen Hallux valgus mit einer Lapidus Arthrodese minimalinvasiv. Das heißt, die Schnitte bei einer solchen OP werden so klein wie möglich gehalten.”
Wie ist die Heilungsdauer und Nachbehandlung nach der Lapidus-OP?
Nach der Lapidus OP am Hallux Zeh wird für ca. zwei Wochen ein Gips angelegt, danach ist die Wunde verschlossen. Anschließend muss der Patient ca. sechs Wochen einen Verbandschuh tragen. Nach insgesamt ca. acht Wochen ist der Fuß wieder voll belastungsfähig. Die Arbeitsunfähigkeit variiert je nach beruflicher Tätigkeit, beträgt aber in der Regel ebenfalls acht Wochen.
Dr. med. Tonio Gottlieb legt großen Wert auf eine ganzheitliche Betreuung seiner Patienten:
- So werden die Patienten nach der Lapidus Arthrodese in seiner Praxis bis zur vollständigen Genesung weiter behandelt.
- Auch die anschließende Krankengymnastik kann durch einen der Praxis angeschlossenen Physiotherapeuten übernommen werden, so dass der Patient von der engmaschigen, persönlichen Betreuung durch den Fußchirurgen Dr. med. Tonio Gottlieb profitiert.
Selbst kann der Patient den Heilungsprozess unterstützen, indem er den operierten Fuß nicht zu früh belastet und regelmäßige Physiotherapie-Übungen (auch zu Hause) durchführt.
Dr. Tonio Gottlieb:
„Ich biete meinen Patienten nach der Operation an, einmal pro Woche in meine Krankengymnastik- Sprechstunde zu kommen. Hier werden Sie in meinen Praxisräumen von einem Physiotherapeuten behandelt und ich komme zu jedem Termin dazu, um den Heilungsverlauf persönlich zu besprechen."
Auf einen Blick:
Alle wichtigen Infos zur operativen Korrektur starker Hallux valgus Fehlstellungen mithilfe der Lapidus Arthrodese Osteotomie:
- Behandlungsart:
- stationär, ca. 4-5 Tage
- Narkose:
- Vollnarkose
- OP Dauer:
- 30 bis 60 Minuten
- OP Nachbehandlung:
- 2 Wochen 6 Wochen walker
- Stabilität:
- übungsstabil
- Gehstützen:
- 6-8 Wochen
Worauf sollten Sie achten, wenn Sie einen Fußchirurgen für eine Lapidus Arthrodese auswählen?

Um eine ausgeprägte Hallux valgus Fehlstellung zu diagnostizieren und mit einer Lapidus Arthrodese zu behandeln, ist es immer empfehlenswert, einen Spezialisten im Bereich der Fußchirurgie aufzusuchen. Praktisch immer ist der Hallux valgus das äußerlich sichtbare Symptom eines in der Fußwurzel liegenden Problems. Für alle Hallux valgus Symptomatiken ist der erfahrene Fußchirurg Dr. Tonio Gottlieb, Ihr idealer Fußspezialist und kann Ihnen die für Sie am besten geeignete Therapie für die Behandlung Ihres Hallux valgus empfehlen. Dabei arbeitet er immer ganzheitlich, berücksichtigt die gesamte Statik des Fußes und Körpers und analysiert so auch die Ursache eines Hallux valgus.
Durch seine wissenschaftliche Forschungsarbeit erweitert er stets seine Expertise und bietet deshalb immer eine State of the Art Behandlung an. In der hier vorgestellten Operationsmethode, der Lapidus Arthrodese für fortgeschrittene Hallux valgus Fehlstellungen, kann er auf langjährige Erfahrung zurückgreifen und diese unkompliziert und erfolgreich durchführen. Gerne können Sie Dr. med. Tonio Gottlieb auch für eine Zweitmeinung in Ihrem persönlichen Hallux valgus Fall konsultieren.
Der Fußchirurg Dr. med. Tonio Gottlieb ist Ihr erfahrener Experte rund um das Thema Fußchirurgie und Fußorthopädie. Er untersucht sie mit größter Sorgfalt und hat dabei stets die gesamte Körperstatik im Blick. Auf Basis einer ursachenorientierten Diagnose wird er Ihnen eine individuelle, stringente Handlungsempfehlung geben. Ob Erstdiagnose oder Zweitmeinung – vereinbaren Sie Ihren persönlichen Beratungstermin!

