Ein erworbener Plattfuß – medizinisch als Pes planovalgus bezeichnet – ist mehr als nur eine Fußformabweichung. Besonders im Erwachsenenalter kann er zu dauerhaften Schmerzen führen, wenn das Fußgewölbe absinkt, die Ferse nach außen kippt und das Gleichgewicht des gesamten Bewegungsapparates gestört wird. Die gute Nachricht ist: In vielen Fällen helfen konservative Maßnahmen, wie Einlagen, fußgymnastische Übungen, Physiotherapie oder orthopädische Schuhe. Wenn diese Maßnahmen nicht mehr greifen, ist abzuwägen ob und wann eine operative Maßnahme erforderlich ist.
Dr. med. Tonio Gottlieb ist ein sehr erfahrener, ausschließlich auf Fuß und Sprunggelenk spezialisierter Facharzt und Orthopäde, in Berlin-Zehlendorf. Er informiert in diesem Beitrag über alle Therapiemaßnahmen, die bei einem erworbenen Plattfuß helfen können.
Was bedeutet es einen „erworbener“ Plattfuß im Erwachsenenalter zu haben?
Der Plattfuß im Erwachsenenalter kann angeboren sein, sich verschlimmert oder sich über Jahre entwickelt haben. Ursächlich ist oft eine Schwächung oder Überlastung des Bandhalteapparats und/oder der Tibialis-posterior-Sehne*, die für die Aufrechterhaltung des Fußlängsgewölbes zuständig sind. Reißen diese Strukturen oder sind sie beschädigt, kann das Fußgewölbe funktionell und strukturell gestört sein und entsprechende Folgen nach sich ziehen.
*Was macht die Tibialis-Posterior-Sehne? Die Tibialis-Posterior-Sehne verläuft an der Innenseite des Unterschenkels zum Fuß und stützt das Längsgewölbe, sodass der Fuß stabil bleibt. Ist sie geschädigt, kann der Fuß einsinken und ein schmerzhafter Plattfuß entstehen.
Typisch Merkmale für einen erworbenen adulten Plattfuß sind:
- ein abgeflachtes oder vollständig eingesunkenes Fußlängsgewölbe,
- eine nach außen gekippte Ferse, eine sogenannte Valgusstellung,
- eine nach außen gedrehte Vorfußposition, eine sogenannte Abduktion,
- zunehmende Instabilität beim Gehen oder Stehen,
- Schmerzen entlang der Fußinnenseite, vor allem beim Abrollen,
- im Spätstadium auch Schmerzen am Aussenknöchel.
Diese Fußveränderungen führen oft zu Fehlbelastungen in anderen Gelenken, etwa im Sprunggelenk, in den Knien oder sogar in der Lendenwirbelsäule. Wenn Sie Fußfehlstellungen bemerken, sollten Sie frühzeitig einen Fußspezialisten aufsuchen, um mit Übungen, Einlagen oder auch Physiotherapie dagegen zu halten.
Konservative Behandlungsmöglichkeiten eines erworbenen Plattfußes – und ihre Grenzen
Prinzipiell können durch einen Plattuß ausgelöste Beschwerden mit konservativen Maßnahmen reduziert werden. Es handelt sich dabei um die Entlastung und um die Steigerung der Belastbarkeit.
1. Entlastung kann erreicht werden durch:
- speziell angepasste Einlagen; sie können das Fußgewölbe stützen und somit die Sehnen entlasten,
- Tapes,
- verminderte Aktivität auf den Füßen,
- durch Gewichtsreduktion bei übergewichtigen Patienten, da ein zu hohes Körpergewicht die Belastung auf die Füße verstärkt,
- orthopädische Schuhe oder Schuhzurichtungen, sie verbessern in der Regel die Fuß- und Körperstatik.
2. Eine Steigerung der Belastbarkeit kann mit Physiotherapie erreicht werden. Durch gezielte Kräftigungsübungen wird die Fußmuskulatur stabilisiert. Der Plattfuß kann somit evtl. wieder stärker belastet werden.
Bei akuten Beschwerden sind parallel auch entzündungshemmende Maßnahmen wie z. B. Medikamente oder Kältetherapie wichtig.
Die oben genannten Maßnahmen können die Symptome eines Plattfußes lindern und eine Verschlechterung verzögern, strukturelle Schäden können jedoch nicht mehr rückgängig gemacht werden. Wenn die Fehlstellung nicht mehr passiv korrigierbar ist, also durch konservative Therapien, oder wenn die Tibialis-posterior-Sehne gerissen oder stark geschädigt ist, sind konservative Therapien häufig nicht mehr ausreichend.
Dr. med. Tonio Gottlieb:
„Bei allen konservativen Maßnahmen inklusive der Physiotherapie ist es nicht möglich den Fuß in seine „normale“ Form und Belastbarkeit zurückzuführen. Dieses geht nur durch die Operation.”
Wann ist eine Operation empfehlenswert?
„In bestimmten Situationen ist ein operativer Eingriff empfehlenswert, um weitere Schäden zu verhindern und die Lebensqualität wiederherzustellen. Jeder Einzelfall muss jedoch genau geprüft werden. Neben einer umfassenden Diagnose sind immer auch die weichen Faktoren ausschlaggebend, nämlich die Wünsche und Bedürfnisse, das Alter sowie die Sportlichkeit eines Patienten.“
Eine Operation sollte erwogen werden, wenn starke, anhaltende Schmerzen bestehen. Auch wenn sich das Gangbild deutlich verschlechtert hat und dadurch andere Körperregionen in Mitleidenschaft gezogen werden, ist es sinnvoll über eine Plattfuß OP nachzudenken. Wenn konservative Therapien über mehrere Monate keine Besserung bringen, sollten Sie ebenfalls eine Operation Ihres Plattfußes in Betracht ziehen. Sollte sich bereits Arthrose in den Rückfußgelenken entwickelt haben, könnte eine Operation ebenfalls eine sinnvolle Maßnahme sein. Vor allem jedoch, wenn die Belastbarkeit im Alltag oder im Beruf bereits deutlich eingeschränkt ist, kann eine Operation viel Lebensqualität zurückbringen.
Dr. med. Tonio Gottlieb:
„Aufgrund der Tatsache, dass der Fuß entwicklungsgeschichtlich nicht zum Laufen gemacht ist, ist grundsätzlich jeder Fuß leicht überlastbar und die Entscheidung eine Operation zur Steigerung der Belastbarkeit durchzuführen immer auch abhängig von den subjektiven Beschwerden.
Sie selbst sind hier die entscheidende Instanz und Sie müssen sich hierzu informieren: Was müsste mit welchem Aufwand und welchen Risiken gemacht werden, um eine „normale“ Belastbarkeit zu erreichen? Dieser Aufwand muss den eigenen Beschwerden und den persönlichen Risiken gegenübergestellt werden. Nur Sie selbst kennen das Ausmaß Ihrer Beschwerden und das Leid, das Sie aushalten.Für alle fachlichen Informationen stehe ich Ihnen als Fußspezialist zur Seite, um sie bei der Entscheidung für oder gegen eine Operation bestens beraten und unterstützen zu können.
Grundsätzlich gilt: Eine Plattfuß OP ist dann empfehlenswert, wenn konservative Maßnahmen erschöpft sind und die funktionellen Einschränkungen und Beschwerden einer Patientin oder eines Patienten von Dauer sind und chronisch werden.“
Operative Verfahren bei erworbenem Plattfuß
Die moderne Fußchirurgie bietet verschiedene gelenkerhaltende und rekonstruktive Verfahren, die individuell kombiniert werden können – abhängig vom Ausmaß der Fehlstellung und dem Zustand der Sehnen und Gelenke.
Es muss bedacht werden, dass der zunächst flexible Plattfuß im zeitlichen Verlauf in einen rigiden Zustand übergeht, welcher meist nicht mehr mit gelenkerhaltenden Techniken therapiert werden kann.
Zu den häufigen Verfahren zählen:
Sehnentransfer
- Ersatz der defekten Tibialis-Posterior-Sehne
- Verwendung der Flexor-digitorum-longus-Sehne (Beugesehne der Zehen)
- Ziel: Wiederherstellung der muskulären Fußgewölbeunterstützung
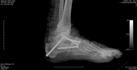
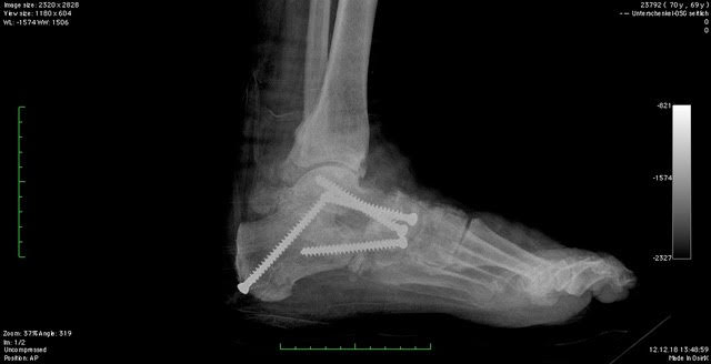
Kalkaneusosteotomie (Fersenbeinverschiebung)
- Durchtrennung und mediale Verschiebung des Fersenbeins
- Korrektur der Valgusstellung der Ferse
- Fixierung meist mit Titanschrauben
Evans-Osteotomie
- Verlängerung des äußeren Fersenbeins
- Beseitigung der Vorfußabduktion
- Einsatz bei jungen, flexiblen Deformitäten oder als Ergänzung
Zentrale Fersenbeinosteotomie
- Korrektur der Valgusstellung des Fersenbeines sowie die Verlängerung des Fersenbeines (Korrektur der Vorfußabduktion) mit nur einer knöchernen Umstellung
Cotton-Osteotomie
- Knochenkeil zur Anhebung des medialen Fußstrahls (meist am Os cuneiforme)
- Verbessert das Gewölbe, besonders in Kombination mit Sehnentransfer
Die Naviculocuneiforme Korrekturarthrodese
- Bei Plattfüßen bedingt durch Instabilität im „Tarsus“
- Arthrodese (Versteifung) von ohnehin nicht „essentiellen“ Gelenken in korrigierter Stellung
- Meist für junge sehr flexible Plattfüße ausreichend
- Kombination mit Korrekturarthrodese zwischen Mittelfuß und Fußwurzel möglich (Miller-OP)
Triple-Arthrodese
- Versteifung dreier Rückfußgelenke (Talonavikular-, Kalkaneokuboid- und Subtalargelenk)
- Einsatz bei fortgeschrittener Arthrose, rigider Fehlstellung oder fortgeschrittenem Alter
- Ziel: Schmerzfreiheit und belastbare Rückfußstatik
Nachbehandlung und Heilungsdauer
Die Nachbehandlung orientiert sich an der Art des Eingriffs; sie ist essenziell für ein optimales Langzeitergebnis. In der Regel erfolgt eine Ruhigstellung im Gips oder Walker in den ersten 6-8 Wochen nach der Operation mit 20 kg Teilbelastung.
Die weitere Nachbehandlung umfasst:
- Physiotherapie zur Wiederherstellung von Beweglichkeit, Kraft und Koordination
- Regelmäßige Verlaufskontrollen mit Röntgen
- Individuelle Belastungssteigerung, je nach Heilungsverlauf
- Rückkehr zu sportlicher Aktivität frühestens nach 3 bis 4 Monaten
Wie sind die langfristigen Erfolgsaussichten?
Die Praxiserfahrung von Dr. med. Gottlieb, sowie zahlreiche Studien zeigen auf, dass eine normale, auch sportliche Belastbarkeit, ohne orthopädische Hilfsmittel in den meisten Fällen erreicht werden kann. Die Voraussetzung ist eine korrekt durchgeführte Plattfußoperation!
Die Schmerzen lassen spürbar nach, das Gangbild stabilisiert sich, die Belastbarkeit im Alltag nimmt zu und die Auswahl des Schuhwerkes, welches getragen werden kann, nimmt zu.
Insbesondere wenn die Operation frühzeitig – also vor dem Eintritt fortgeschrittener Arthrose, durchgeführt wird, ist die Prognose langfristig sehr gut.
Früherkennung und ein Besuch beim Fußspezialisten sind entscheidend
Ein erworbener Plattfuß ist nicht nur ein „eingesunkener Fuß“, sondern eine komplexe Veränderung des gesamten Rückfußapparats. Wenn Sie ein Einsinken Ihres Fußgewölbes bemerken, Schmerzen an der Fußinnenseite verspüren oder sich beim Gehen zunehmend unsicher fühlen, sollten Sie einen erfahrenen Fußchirurgen und Fußorthopäden konsultieren.
Ich nehme mir in meiner Privatpraxis in Berlin Zeit für eine fundierte Diagnostik und bespreche mit Ihnen, ob konservative Maßnahmen helfen – oder ob eine Operation sinnvoll ist.
Seit über 20 Jahren bin ich ausschließlich als Fußspezialist tätig, ich bin Facharzt für Chirurgie und für Orthopädie und Unfallchirurgie.

