Eine fortgeschrittene Plattfußdeformation kann für Betroffene erhebliche Beschwerden im Alltag bedeuten: Fußschmerzen, eine veränderte Statik des gesamten Bewegungsapparats, Einschränkungen in Sport und Freizeit. Wenn der Zeitpunkt kommt, dass konservative Maßnahmen nicht mehr ausreichen, bietet eine Plattfuß-Operation die Möglichkeit, das Fußgewölbe dauerhaft wiederherzustellen. In diesem Blogartikel schildern wir anschaulich den Ablauf einer Plattfuß-OP am Beispiel aussagekräftiger Vorher-Nachher-Bilder aus unserer Berliner Fußchirurgie Praxis Dr. med. Tonio Gottlieb.
Vorher – Plattfuß Diagnose mit Podoskop und Röntgen
Podoskop-Aufnahme

Am Beginn jeder Behandlung steht die präzise Diagnostik. In der Praxis von Dr. med. Gottlieb nutzen wir neben der klinischen Untersuchung auch ein Podoskop. Das ist ein Gerät, mit dem Fußfehlstellungen und Haltungsschäden zusätzlich diagnostiziert werden können. Der Patient steht auf dem Podoskop, die Fußsohlen werden beleuchtet und gespiegelt und mit digitaler Bildgebung dargestellt. Hierbei wird die Belastung und Gewölbestruktur beider Füße sichtbar. Auf dieser Aufnahme zeigen sich beim Patienten deutlich zwei Plattfüße – mit flachem, nahezu vollständigem Bodenkontakt. Besonders der linke Fuß zeigt einen ausgeprägten Plattfuß und wird operiert.
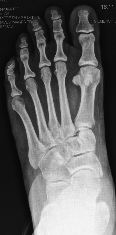
Röntgenbilder
Für die OP-Planung sind auch detaillierte Röntgenbilder unerlässlich. Sie dokumentieren die Fußknochen und den Grad der Fehlstellung aus verschiedenen Blickwinkeln. Am linken Fuß ist die Abweichung des Längsgewölbes und die Verschiebung der Knochen deutlich erkennbar.
Die Plattfuß-Operation
Der operative Eingriff verfolgt diese Ziele:
- Das Längsgewölbe wird aufgerichtet.
- Fehlstellungen in Fußwurzel und Rückfuß werden korrigiert.
- Schmerzen werden reduziert und die Körperstatik verbessert.
Nach der operativen Korrektur fixieren Implantate oder Schrauben das neue Fußgewölbe. Während der Heilungsphase wird die Korrektur wiederholt medizinisch kontrolliert.
Nachher – Plattfuß Kontrolle und sichtbares Ergebnis
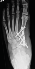
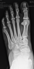
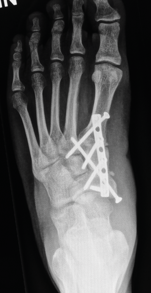
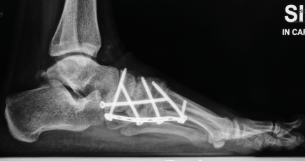
Röntgenkontrolle
Die Kontrollaufnahmen unmittelbar nach dem Eingriff zeigen die anatomisch korrigierte Fußform. Die eingebrachten Schrauben stützen den Aufbau so lange bis der Knochen vollständig verheilt ist.
Podoskop-Aufnahme
Im abschließenden Vorher-Nachher-Vergleich auf dem Podoskop erkennt man deutlich: Der operierte linke Fuß zeigt nun ein kräftig ausgeprägtes Fußgewölbe – der Plattfuß ist nachhaltig korrigiert. Der rechte, noch nicht behandelte Fuß, bleibt weiterhin als Plattfuß sichtbar.
Ergebnis und Vorteile der Plattfuß-OP
Die operative Behandlung ermöglicht Patient:innen viele Vorteile, z.B. den Wiedergewinn eines natürlichen, elastischen Fußgewölbes, deutlich weniger Fuß- und Rückenschmerzen, sowie die Normalisierung des Gangbildes und der Belastung. Ein Plattfuß-Operation kann eine sinnvolle nachhaltige Korrektur sein, so wie es hier im Vorher-Nachher-Vergleich gezeigt wird. Viele meiner Patient:innen freuen sich über die neue Lebensqualität und die erneute Freude an der Bewegung. Auch die Leistungsfähigkeit des Fußes wird deutlich gesteigert.
Häufige Fragen zur Plattfuß-OP
(FAQ)
Wie lange dauert die Heilung nach einer Plattfuß-OP?
Die erste Mobilisierung erfolgt oft nach wenigen Tagen, die volle Belastbarkeit wird meist innerhalb von 6–12 Wochen aufgebaut. Sport ist nach Rücksprache mit dem Arzt meist nach 3 Monaten wieder möglich.
Ist eine Plattfuß-OP schmerzhaft?
Dank moderner Narkosetechniken und nachfolgender Schmerztherapie sind stärkere Schmerzen selten. Leichte Beschwerden, etwa durch die Schwellung, können vorübergehend bestehen.
Ist das Ergebnis dauerhaft?
In der Regel bleibt die Korrektur des Fußgewölbes nach einer gut geplanten und fachgerecht durchgeführten OP dauerhaft erhalten.
Welche Risiken bestehen?
Wie bei jedem operativen Eingriff gibt es bestimmte Risiken (Blutergüsse, Infektionen, vorübergehende Gefühlstörungen etc.), die bei sorgfältiger Planung und Nachsorge aber selten auftreten.
Welche Patienten profitieren besonders?
Patient:innen mit deutlicher Fehlstellung, chronischen Schmerzen oder Versagen der konservativen Therapie (Einlagen, Physiotherapie) profitieren am stärksten.
Wenn Sie Fragen wegen Knick-Senk-Spreizfuß Beschwerden haben, freuen wir uns über Ihre Terminvereinbarung in unserer Fußchirurgie-Praxis für Selbstzahler und Privatpatienten.
Hinweise & Abgrenzung
Die hier gezeigte Bildabfolge illustriert einen typischen Ablauf. Selbstverständlich werden die OP-Techniken und Heilverlauf stets individuell auf Ihre Bedürfnisse, Wünsche, Vorbedingungen und auf Ihre Anatomie angepasst.
Weitere Informationen zu konservativen Maßnahmen z. B. Einlagen, Physiotherapie sowie Details zu verschiedenen Operationsverfahren finden Sie in den weiterführenden Beiträgen auf dieser Website:
Knick-Senk-Spreizfuß OP in Berlin
Plattfuß bei Erwachsenen – was ist konservativ machbar und wann ist eine Operation hilfreich?
